치과 치료를 하게되면 다양한 보철물이 존재합니다.
그중 크라운을 선택할 때, 많은 사람들이 크라운의 종류 중 지르코니아 크라운과 골드크라운 중 어떤 것을 해야할지 고려하게 됩니다.
지르코니아 크라운은 그 강도와 심미성 덕분에 점점 더 인기를 얻고 있습니다.
이 글에서는 지르코니아 크라운의 특징, 장단점, 비용등에 대해 설명 한 번 드리겠습니다.


지르코니아 크라운 가격과 특징에 대해
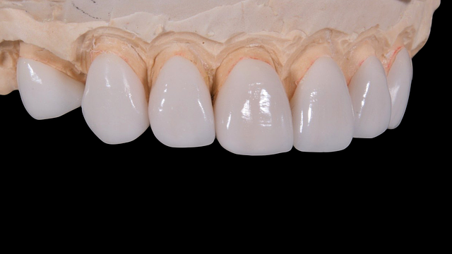
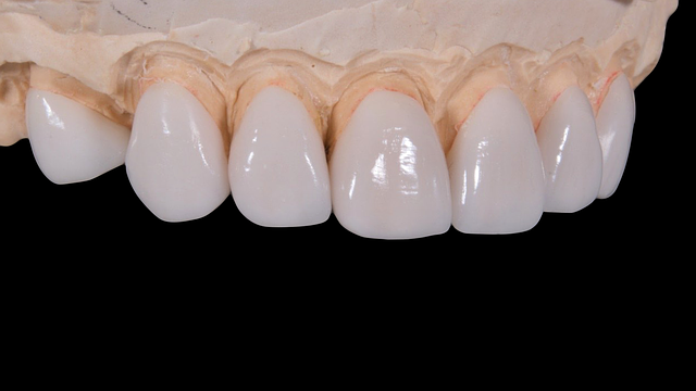
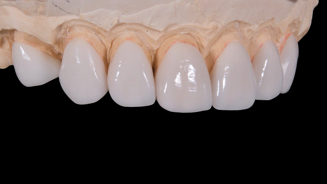
지르코니아 크라운의 특징
지르코니아 크라운은 지르코니아(zirconia)라는 소재로 만들어진 치과용 크라운입니다.
지르코니아는 매우 강하고 치아의 자연스러운 색상에 가깝게 제작될 수 있어 심미적인 면에서도 뛰어납니다.
또한, 열전도성이 낮아 뜨겁거나 차가운 음식에 민감한 사람들에게도 적합합니다.



지르코니아 크라운 가격
지르코니아 크라운의 가격은 치과마다, 지역마다 다를 수 있습니다.
평균적으로 40만원에서 60만원 사이의 비용이 발생하며, 일부 치과에서는 더 저렴하거나 비싼 가격대를 제시할 수 있습니다. 이는 사용되는 지르코니아의 품질, 치과의 위치, 그리고 치과 의사의 경험, 이용하는 기공소(기공료)등에 따라 지르코니아 가격이 달라질 수 있습니다.
위에 기재된 지르코니아 크라운 가격은 평균적인 예시일 뿐이며, 정확안 가격은 다니시는 해당 병,의원에 문의해보시길 바랍니다.
지르코니아 크라운은 비급여 진료이기때문에 비용이 발생됩니다.



지르코니아 크라운의 장단점
지르코니아 크라운 장점


1. 강도: 지르코니아는 매우 단단하여 깨지거나 닳을 가능성이 적습니다. 이는 특히 어금니와 같은 저작력이 강한 부위에 적합합니다
2. 심미성: 지르코니아 크라운은 자연치아와 거의 구분이 어려울 정도로 유사한 색상과 투명도를 가지고 있어 앞니 치료에도 많이 사용됩니다
3. 생체 적합성: 금속이 포함되지 않아 알레르기 반응이 없으며, 잇몸 염증 등의 위험이 낮습니다
4. 내구성: 제대로 관리하면 10년 이상 사용할 수 있어 비용 대비 효율이 좋습니다
5. 열전도성: 열전도성이 낮아 뜨겁거나 차가운 음식을 먹을 때 치아가 덜 민감하게 반응합니다.
지르코니아 크라운 단점



1. 비용: 지르코니아 크라운은 다른 재료에 비해 가격이 높습니다. 평균적으로 40~60만원 정도로 형성되어 있으며, 이는 치과와 환자의 상황에 따라 다를 수 있습니다
2. 치아 삭제량: 크라운을 씌우기 위해 비교적 많은 양의 자연치아를 삭제해야 합니다
3. 대합치아 마모: 매우 단단한 재질로 인해 맞물리는 치아가 마모될 수 있습니다
4. 투명도 부족: 다른 세라믹 재료에 비해 빛 투과성이 떨어져 심미적으로 아쉬울 수 있습니다.
임플란트에도 사용되는 지르코니아 크라운
1. 강도와 내구성
지르코니아는 매우 단단하고 내구성이 높아 임플란트 크라운으로 사용하기에 적합합니다. 일반적으로 임플란트는 자연치아보다 더 많은 저작력을 견뎌야 하기 때문에, 지르코니아의 높은 강도는 중요한 장점입니다
2. 심미성
지르코니아 크라운은 자연치아와 유사한 색상과 투명도를 제공하여, 특히 앞니와 같이 심미성이 중요한 부위에 적합합니다. 금속이 포함되지 않아 잇몸 퇴축 시 금속 노출 문제가 없고, 자연스러운 외관을 유지할 수 있습니다
3. 생체 적합성
지르코니아는 생체 적합성이 높아 잇몸 염증이나 알레르기 반응을 일으킬 가능성이 낮습니다. 이는 장기적으로 임플란트 주변 조직의 건강을 유지하는 데 도움이 됩니다.
4. 낮은 열전도성
지르코니아는 열전도성이 낮아 뜨겁거나 차가운 음식을 먹을 때 민감도를 줄여줍니다. 이는 치아 신경에 부담을 덜어주는 역할을 합니
지르코니아는 다른 재료에 비해 세균이 덜 부착되는 특성이 있어 구강 위생 관리가 상대적으로 용이합니다. 이는 임플란트 주변의 염증이나 감염을 예방하는 데 도움이 됩니
이러한 이유들로 인해 지르코니아 크라운은 임플란트 보철물로서 널리 사용되고 있으며, 환자와 치과 의사들 사이에서 선호되고 있습니다.



지르코니아 크라운의 특징 중의 특징


지르코니아 크라운은 강도와 심미성을 겸비한 매우 우수한 치과 보철물입니다. 물론 비용과 치아 삭제량 등의 단점도 있지만, 그 장점이 이를 상쇄하고도 남습니다. 특히 심미성이 중요한 앞니나 저작력이 중요한 어금니 치료에 적합합니다. 지르코니아 크라운을 고려하고 있다면, 충분한 정보 수집과 치과 의사와의 상담을 통해 신중하게 결정하시길 권장합니다.